37

Нехируршко ендодонтско повторно лекување

назад кон сите поглавја
Сл. 37.33

Сл. 37.33

Сл. 37.33 АЦ-Тип Е103 и А-Ц Тип Е104 („Вудпекер“) се многу корисни за безбедно и брзо отстранување на канални колчиња.

Сл. 37.35

Сл. 37.35

Сл. 37.35 Системот за отстранување колчиња е комплет дизајниран механички да вклучува и потенцијално да отстранува многу различни типови колчиња.

Сл. 37.37

Сл. 37.37

Сл. 37.37 Безбедно отстранување на леана надградба од коренскиот канал на горниот десен втор премолар.

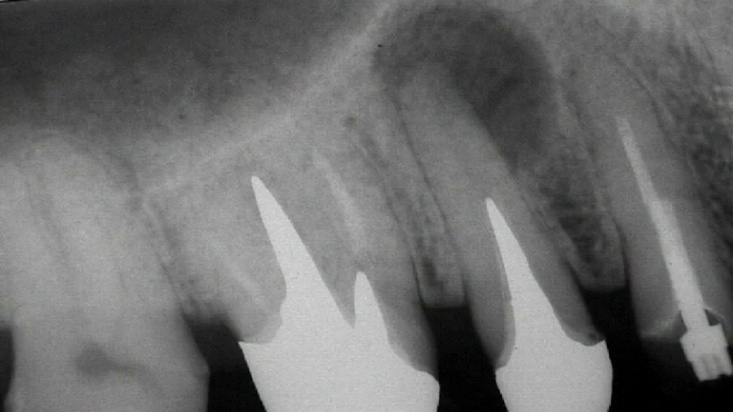
Сл. 37.38

Сл. 37.38

Сл. 37.38 Безбедно отстранување колче со навој од дисталниот канал на долниот лев втор молар. а) Предоперативна радиографија. б) Колчето со навој е отстрането. в) Контрола по шест месеци. Референтниот стоматолог ставил ново колче со навој и пак во мезијалниот корен!

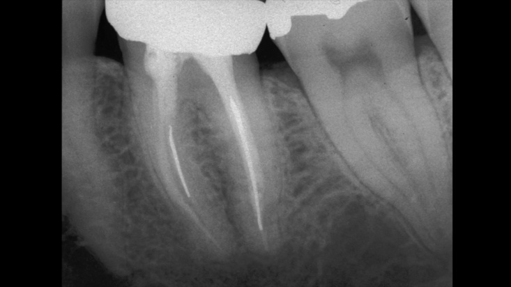
Сл. 37.42

Сл. 37.42

Сл. 37.42 а) Предоперативна радиографија на ендодонтски неуспех на горниот лев прв молар. б) Две јаглеродни фибер колчиња се присутни во букалните канали. в, г) Ултразвучниот продолжеток „Старт-X“® #3 („Дентсплај Сирона“, САД) го распаѓа колчето. д) Мал фрагмент од композит е евидентен до гутаперката. ѓ) Постоперативна радиографија. е) Контрола по шест месеци.

Сл. 37.48

Сл. 37.48

Сл. 37.48 Ултразвучниот продолжеток „Старт-X“™ #3 може да се користи сув во правите делови на коренскиот канал за да се отстрани гутаперката со топлина.

Сл. 37.52в

Сл. 37.52в

Сл. 37.52 в) На сликата е прикажан симулиран коренски канален систем. Продолжетокот за активирање се користи со движење на пумпање, со што се создава силна хидродинамика.

Сл. 37.69

Сл. 37.69

Сл. 37.69 а) Предоперативна радиографија. Два фрагмента од сребрен шилец се присутни во коренските канали. б, в) Сребрените шилци се отстрануваат со „Канцелиер“. г) Контролна радиографија по една година.

Сл. 37.72

Сл. 37.72

Сл. 37.72 а) Скршен инструмент е очигледен во палатиналниот канал на овој горен лев втор премолар.